티스토리 뷰
반응형

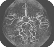
모야모야병이란?

모야모야병은 뇌혈관이 서서히 좁아지며 막히는 희귀한 뇌혈관 질환으로, 뇌에 혈액 공급이 부족해지는 심각한 상태를 초래합니다. 이 질환은 일본어 "모야모야"에서 유래했는데, 이는 "연기가 피어오르는 모양"을 뜻합니다.
뇌혈관 조영술에서 좁아진 혈관 주변에 작은 측부 혈관들이 마치 연기처럼 보이는 모습이 특징이기 때문입니다. 주로 한국, 일본 등 동아시아에서 발병률이 높으며, 소아와 성인 모두에게 영향을 미치는 질환입니다. 소아에게는 뇌허혈이나 뇌경색으로, 성인에게는 뇌출혈로 나타나는 경우가 많아 나이에 따라 증상이 다르게 나타나는 점이 특징입니다.
모야모야병의 원인은 무엇일까?

모야모야병의 정확한 원인은 아직 밝혀지지 않았습니다. 다만 유전적 요인이 크게 작용하는 것으로 알려져 있습니다. 일본과 한국 연구에 따르면, 전체 환자의 약 10~15%가 가족력을 가지고 있으며, 특히 RNF213 유전자의 변이가 모야모야병과 강한 연관성을 보인다고 합니다.
이 유전자는 한국과 일본 환자에서 70% 이상에서 발견되지만, 서양인에게는 드물게 나타납니다. 환경적 요인보다는 유전적 요인이 더 큰 영향을 미친다는 연구 결과가 많으며, 다만 감염이나 자가면역 반응, 혹은 다운증후군, 신경섬유종증 같은 다른 질환과 연관된 경우는 "모야모야 증후군"으로 분류되기도 합니다.
주요 증상: 과호흡 후 마비, 두통, 뇌졸중 위험
모야모야병의 증상은 뇌로 가는 혈류 부족으로 인해 발생합니다. 소아의 경우 뜨거운 음식을 먹고 입으로 바람을 불 때, 심하게 울거나 풍선을 부는 등 과호흡 상황에서 팔다리에 힘이 빠지는 일과성 마비가 흔히 나타납니다.
이는 과호흡으로 인해 체내 이산화탄소 농도가 낮아지면서 뇌혈류가 감소하기 때문입니다. 성인의 경우 두통, 언어장애, 시각장애, 그리고 뇌출혈로 이어질 수 있는 증상이 자주 나타납니다.
특히 여성에게서 발병률이 약 1.8배 높으며, 10세 이하 소아와 30~50대 성인에서 주로 발생합니다. 방치할 경우 뇌졸중이나 심각한 신경학적 장애로 이어질 수 있어 조기 진단이 매우 중요합니다.
진단과 치료: 수술이 유일한 길?
모야모야병은 MRI, MRA(자기공명 혈관조영술), 뇌혈관 조영술, SPECT 같은 검사로 진단합니다. 이 검사들은 단순히 질환을 확인하는 데 그치지 않고, 병의 진행 정도와 수술 필요성을 판단하는 데도 사용됩니다. 현재 모야모야병은 불치병으로 분류되며, 근본적인 치료법은 없지만 증상을 완화하고 합병증을 예방하는 치료는 가능합니다.
치료법으로는 주로 수술이 권장되며, 직접 혈관 문합술(혈관을 직접 연결해 혈류를 늘리는 방법)과 간접 혈관 문합술(두피 혈관을 뇌 표면에 얹어 새로운 혈관이 자라게 유도하는 방법)이 사용됩니다. 소아의 경우 간접 혈관 문합술이 더 흔히 시행되며, 성인의 경우 직접과 간접 문합술을 병행하기도 합니다. 수술 후에도 뇌혈류를 유지하기 위한 약물 치료와 정기적인 검진이 필수적입니다.
예방과 주의사항: 과호흡과 탈수를 피하라
모야모야병은 진행을 막을 수 있는 예방법이 아직 없지만, 증상을 유발하는 상황을 피하는 것이 중요합니다. 특히 과호흡을 유발하는 행동(뜨거운 음식 먹고 바람 불기, 심한 울음, 풍선 불기 등)이나 탈수를 유발하는 심한 운동, 급격한 온도 변화(사우나, 더위 노출 등)를 피해야 합니다. 조기 진단과 적절한 치료를 통해 80% 이상의 환자가 추가적인 신경학적 손상 없이 정상적인 생활을 유지할 수 있다고 알려져 있습니다.
결론: 모야모야병, 조기 발견이 생명을 살린다
모야모야병은 희귀하지만 방치하면 뇌졸중이나 심각한 장애로 이어질 수 있는 위험한 질환입니다. 특히 한국인에게 발병률이 높아, 가족력이 있거나 과호흡 후 마비 증상을 경험했다면 반드시 전문의 상담을 받아야 합니다. 현대 의학으로 증상을 관리하고 삶의 질을 높일 수 있으니, 의심 증상이 있다면 주저하지 말고 검진을 받아보세요!
반응형

